当院では、よく噛めて食事ができる精密な入れ歯の製作・治療を行っております。現在の歯を極力残したい、インプラントはしたくない、とご希望の方は、審美的で精密な入れ歯治療も選択肢として十分に考えらえれます。

長年の治療経験と咬み合わせの理論に基づき、患者様ごとに合わせたオーダーメイドの義歯を製作させていただきます。当院では、主に以下のような素材の入れ歯を取り扱っています。

インプラントオーバーデンチャー

インプラント4本によるインプラントオーバーデンチャー

正面:インプラントオーバーデンチャー

レントゲン:インプラントオーバーデンチャー

嘔吐反射が酷くブラッシングなどのセルフケアが難しい症例です(インプラントと義歯内面のマグネットで無口蓋金属床義歯ノンクラスプライプを維持しています)。

保存可能な歯牙は可及的に残し、クラスプと呼ばれる歯にかけるバネを使用しないため、残存歯の感覚も残しながらインプラントオーバーデンチャーによる咬合負担も可能にした症例。

咬合調整により天然歯と義歯の被圧変異量の差を考慮した調整が必要なため、装着時に細かい調整が必要ですが、長期的に安定した状態を得ることができます。

また義歯は外して義歯洗浄剤を使用し、残存歯とインプラント部は前方に集中しているため、嘔吐反射の患者さんでも手入れが容易でメンテナンスしやすい構造となっております。

年齢/性別 50代男性
治療期間 約6ヶ月
費用 約200万円(税別)
リスク副作用等 自費入れ歯治療のリスク・副作用について

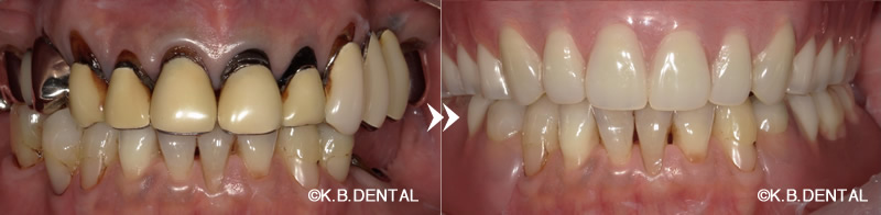
金属床義歯
(薄く作れて食事の温度が伝わる入れ歯)

当院での有床金属床義歯症例

口元:術前術後

正面:術前術後

左側:術前術後

右側:術前術後

主訴 入れ歯を新調したい。良く噛めるようにしたい。
年齢/性別 50代男性
治療期間 3ヶ月
費用 80万円(税別)
リスク副作用等 自費入れ歯治療のリスク・副作用について

現在の入れ歯が合わないとお悩みの方は、虫歯や歯周病など、何等かのお口の環境が変わる要因による咬み合わせが変わることにあります。

当院では、虫歯・歯周治療をさせていただき、精密な咬合再建・顎位修正を行い、よく噛める金属床義歯をご提供させていただきます。

ノンクラスプデンチャー
(金属のバネが見えない入れ歯)

ノンクラスプデンチャー

部分入れ歯の場合、金属のバネが見えて気になるという方もいらっしゃいます。ノンクラスプデンチャーは、引っかける部分が歯ぐきの色と同じで、バネがありません。適度な弾力性があるので、取り外しも簡単で、審美的にも美しい入れ歯を製作できます。

症例1

ノンクラスプデンチャー

主訴 良く噛めるようにしたい。
年齢/性別 50代男性
治療期間 3ヶ月
費用 80,000~200,000円(税別)
リスク副作用等 自費入れ歯治療のリスク・副作用について

症例2

ノンクラスプデンチャー口元

ノンクラスプデンチャー術前術後

主訴 良く噛めるようにしたい
年齢/性別 50代女性
治療期間 3ヶ月
費用 80,000~200,000円(税別)
リスク副作用等 自費入れ歯治療のリスク・副作用について

症例3

マグネットによるアタッチメント+金属床(チタン)無口蓋義歯

ノンクラスプデンチャー

上顎:マグネットによるアタッチメント+金属床(チタン)無口蓋義歯
下顎左側:ノンクラスプデンチャー

主訴 見た目をよくしたい
年齢/性別 50代男性
治療期間 3ヶ月
費用 総額約90万円(税別)
リスク副作用等 自費入れ歯治療のリスク・副作用について

症例4

部分金属床(チタン)無口蓋義歯+特殊維持装置

部分金属床(チタン)無口蓋義歯+特殊維持装置

部分金属床(チタン)無口蓋義歯+特殊維持装置

主訴 短期間で噛めるようにしたい
年齢/性別 60代男性
治療期間 2ヶ月
費用 総額約40万円(税別)
リスク副作用等 自費入れ歯治療のリスク・副作用について

上顎:部分金属床(チタン)無口蓋義歯+特殊維持装置

症例5

前歯部分ジルコニアクラウン+ノンクラスプデンチャー

主訴 見た目をよくしたい
年齢/性別 40代男性
治療期間 4ヶ月
費用 総額約150万円(税別)
リスク副作用等 自費入れ歯治療のリスク・副作用について

上顎:前歯部分ジルコニアクラウン+ノンクラスプデンチャー
下顎:前歯部分ジルコニアクラウン+ノンクラスプデンチャー

症例6

金属床総義歯(チタン)

金属床総義歯(チタン)+残存歯をドルダーバー

主訴 噛めるようにしたい。メンテナンスの手間を省きたい。
年齢/性別 60代女性
治療期間 6ヶ月
費用 総額約90万円(税別)
リスク副作用等 自費入れ歯治療のリスク・副作用について

上顎:金属床総義歯(チタン)
下顎:金属床総義歯(チタン)+残存歯をドルダーバーという固定装置に置き換えて入れ歯を安定させている

痛くない・外れにくい、柔らかい入れ歯

コンフォートデンチャーという選択があります

コンフォートデンチャー

あなたの歯ぐきは大丈夫ですか。現在の入れ歯でこのようなお悩み・症状はありませんか?

  • 最近、入れ歯が合わなくなってきた
  • グッと強く噛むと痛い場所がある
  • 噛むと痛い場所がある、物を噛まないようにしている
  • 入れ歯がすぐ外れやすい
  • 入れ歯が浮いてしまうことがある

このような方は、生体用シリコーン製で柔らかくて噛む力が2倍になる入れ歯「コンフォートデンチャー」が適応になる場合があります。関内馬車道デンタルオフィスは「コンフォートデンチャー」取扱い歯科医院です。

コンフォートデンチャーの利点

  • 歯ぐきを優しく保護して守る
  • クッション素材で噛んだときの痛みを柔らげ軽減させる。
  • 硬いものでも、しっかり噛める
  • 吸着力が高いので食事のときや話をするときに外れにくい
  • 入れ歯と歯ぐきの間に食べ物が詰まりにくくなる

患者さんのお口の症状やケースによっては、適さない場合もありますが、現在のお口の状態を詳しく診断させていただき、入れ歯についての適切なアドバイスをさせていただきます。

お気軽にお問い合わせ・ご相談ください。

自費診療の義歯(入れ歯)治療内容・リスク副作用

ここでは、医療広告ガイドラインに基づき、歯科治療における金属床義歯・ノンクラスプデンチャー・コンフォートデンチャー等の入れ歯(義歯)治療についての治療内容・リスク・副作用について記述いたします。

治療内容

歯の一部または大部分を失った場所に対して金属、レジン、シリコン等の素材で補綴物を作り、見た目・咬み合わせの回復をはかる治療方法。

健康保険と自費の適用・費用について

金属床義歯・ノンクラスプデンチャー・コンフォートデンチャー等の入れ歯(義歯)治療は、自費診療となり健康保険対象外です。

  • 金属床義歯:15万~45万円(税別)
  • ノンクラスプデンチャー:8万~20万円(税別)
  • コンフォートデンチャー:20~40万円(税別)

リスク・副作用

  • 経年変化や長年使用することにより入れ歯が壊れたり劣化したりすることがあります(永久ではない)。
  • その方個人の咬み合わせの変化により、外れやすくなったり、うまく噛めなくなったりすることがあります。
  • 入れ歯をしっかり固定させるために、虫歯や歯周病になっている歯、体積が少なくなっている歯などは事前に抜歯をご提案させていただくことがあります。

ご予約・お問合せ

初めての方でもお気軽にお問合せ・ご相談下さい

045-299-0488

平日 10:00-14:00 / 16:00-20:00 土曜 11:00-14:00 / 16:00-19:00
水曜・日曜・祝日:休診

LINE
診療時間※土曜のみ11:00-14:00 / 16:00-19:00 【休診日】水曜・日曜・祝日

〒231-0015 神奈川県横浜市中区尾上町5丁目68 馬車道RAビル 2F

電車 地下鉄ブルーライン「関内」駅 7番出口 徒歩 30 秒
JR京浜東北線・根岸線「関内」駅 徒歩 2 分
東急東横線・みなとみらい線「馬車道」駅 5番出口 徒歩 5 分
JR京浜東北線・根岸線「桜木町」駅 徒歩 8 分

Google MAP

関内馬車道デンタルオフィス診療カレンダー

患者様アンケート結果 症例集 SmileView