大学病院や一般大手病院の口腔外科に長く在籍し、多くの外科処置の経験から、関内馬車道デンタルオフィスは「歯科口腔外科・病理専門外来」を併設し難症例治療に対応しております。
主に、お口の中のデキモノ、腫瘍、難しい親知らずの抜歯、歯や歯肉・唇・舌の外傷、顎関節症、重度炎症などの難しい口腔内外疾患を診査・診断しております。
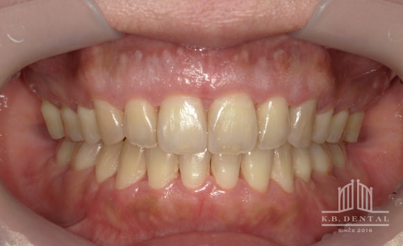
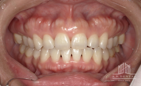
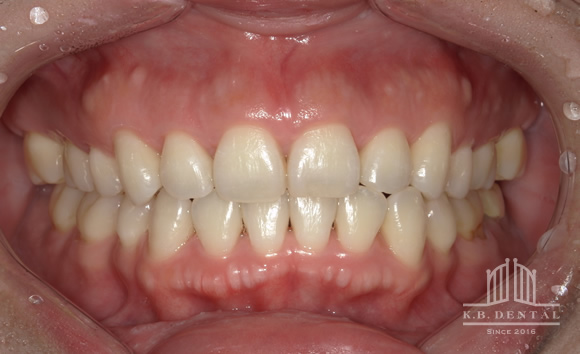
「下顎隆起形成術と親知らず抜歯」患者さん体験動画
手術直後
歯茎のでこぼこ【骨隆起】切除手術してきました! 静脈内鎮静法 本当に寝ている間に!?
手術1週間
歯茎のデコボコ【骨隆起】切除手術 親知らず抜歯 術後の腫れの経過と食事について
手術後1ヶ月!
総集編! 歯茎のデコボコ 骨隆起 切除手術 ビフォーアフターは? 費用は? 歯ぎしり 食いしばりのある方要注意!
「口蓋隆起除去手術体験動画」患者さん体験動画
口蓋隆起除去手術パート1
体験談!歯茎のデコボコ、口蓋隆起除去手術してきました。手術の流れは?歯ぎしり、食いしばりのある方要注意!
口蓋隆起除去手術パート2
術後:抜糸~40日、食事は?歯ぎしりや食いしばりのある方必見!
口蓋隆起除去手術パート3
術後3ヶ月:画像で見る回復具合
病理組織検査
当院では口唇など口腔周囲の病理検査から、従来は入院が必要な疾患も、静脈内鎮静法を用いた日帰り手術で対応し、病理組織検査も行っております。
千葉細胞病理診断センターと提携
当院の口腔外科専門外来では、千葉県船橋市の千葉細胞病理診断センターと提携し、細菌検査、細胞診、病理組織検査を行い患者さまの不安に対して、積極的に検査を行い結果を説明しております。
千葉細胞病理診断センターHP
https://www.ccpdc.jp/
ご注意
以下にご紹介する症例写真は、患者様に歯科の知識をより詳しく知っていただくために設けておりますが、一部の写真に口腔内の抜歯、出血、切開など、不快感や嫌悪感等を与える可能性のある画像も含まれています。ご理解いただける方のみ、下方にスクロールして閲覧ください。↓
当院で可能な口腔外科治療の例症例の目次
- 口唇血管腫(こうしんけっかんしゅ)
- 類表皮嚢胞(るいひょうひのうほう)
- 鼻口蓋管嚢胞(びこうがいかんのうほう)
- 歯根端切除術(しこんたんせつじょじゅつ)
- 歯牙腫(しがしゅ)
- 唾石(だせき)
- 下顎骨隆起(かがくこつりゅうき)
- 上顎骨隆起(じょうがくこつりゅうき)
- 頬粘膜腫瘍(きょうねんまくしゅよう)
- ガマ腫(がましゅ)
- 口蓋隆起(こうがいりゅうき)
- 舌腫瘍(ぜつしゅよう)
- 粘液嚢胞(ねんえきのうほう)
- 顎骨腫瘍+埋伏歯(がっこつしゅよう+まいふくし)
- 正中過剰埋伏歯(せいちゅうかじょうまいふくし)
- 歯槽骨骨折、歯牙亜脱臼
- 埋伏親知らず+含歯性嚢胞(まいふくおやしらず+がんしせいのうほう)
- ブランディンヌーン嚢胞
- 歯根嚢胞(しこんのうほう)
- セメント質骨形成線維種
- エナメル上皮腫(濾胞型)
口唇血管腫(こうしんけっかんしゅ)

唇に紫色または黒いのほくろのような物ができて「ずっと消えない、見た目が気になる」とのことで来院。唇を噛んでしまった場合など、毛細血管が挫滅(ざめつ)してできる症状です。ピオクタニンブルーでマーキングして切開範囲を決めて摘出した症例です。
小さい血管腫でしたら当院で除去できますが、大きい範囲の血管腫「スタージウェーバー」までになると、当院でも除去することが困難です。
ガラス状の板(プレパラート)等で患部を押してみて、退色が見られるようであれば血管腫と判断します。状況によってレントゲン撮影も行い、硬組織から出ているかどうかも疑います。
料金
静脈内鎮静法による麻酔代込み:約11万円(保険適用外)
類表皮嚢胞(るいひょうひのうほう)






生まれつき元々出来ていることがあり、年齢とともに大きくなることがあります。体の一部分の種が成長できずにいると、体自体がその種を異物と感じて、被包化という現象が起き、膿胞に変化します。
20代女性の類表皮嚢胞の症例で、上顎正中部の腫れ(お顔が腫れあがってきた)ということで来院されました。15歳頃に上側右側側切歯違和感で抜髄処置、その後上顎前歯部に違和感を自覚し、近医にて歯髄炎診断下に抜髄処置。最近になり同部の腫脹、顔貌の変化を自覚し当院を受診されました。
顔面は人中~両側鼻翼にかけて腫脹による法令線の消失を認め、側貌ではE-LINEから腫脹による前方への上口唇の突出を認めました。口腔内所見で上顎正中部~上唇小帯付着部にかけて軽度の圧痛を伴う、やや境界不明瞭な暗紫色の直径5cm大の半球状腫瘤を認めました。
リラックス麻酔(静脈内鎮静法)を用いた日帰り入院摘出手術を行い、鑑別診断では鼻口蓋管嚢胞と診断されましたが、病理組織診断の結果、類表皮嚢胞と診断できました。
この小帯部分にできるケース類表皮嚢胞は珍しく、一般的には、頸部(首のあたり)に良くできることが多いです。
料金
静脈内鎮静法による麻酔代込み:約15~20万円(保険適用外)
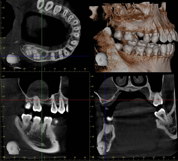
鼻口蓋管嚢胞(びこうがいかんのうほう)
鼻口蓋管嚢胞 症例1




切歯管嚢胞とも呼ばれ、鼻口蓋管(鼻と口をつなぐ管)に発生する嚢胞(うみの袋)のことです。非歯原性嚢胞のなかで最も頻度の高いもので、性別は男性に多く、年齢別では30~50歳台に好発します。症例は当時24歳の男性で、12歳頃より上顎右側中切歯の変色および唇側歯頸部歯肉の違和感を自覚するも放置していました。最近になり同部の違和感と圧痛を自覚し当院を受診されました。
料金
静脈内鎮静法による麻酔代込み:約15~20万円(保険適用外)
鼻口蓋管嚢胞 症例2
一般的に鼻口蓋管の上皮遺残から生じる先天性嚢胞で、今回は鼻の痛みを主訴に耳鼻咽喉科に受診して判明し摘出手術依頼を受けた症例です。
CT上でも鼻口蓋管を中心に嚢胞様の透過像を認めます


口腔内初見では口蓋に腫脹などは認められません。

切開すると嚢胞壁と神経血管束の癒着を認めます。

癒着している神経血管束を結紮して切除した後に更に剥離して患部を明示します。

ラウンドバーで口蓋骨を削って嚢胞を明示します。

摘出した状態

縫合して手術終了となります

▲摘出した嚢胞
鼻口蓋管嚢胞 症例3

静脈内鎮静法による麻酔代込み:約25万円(保険適用外)
歯根端切除術(しこんたんせつじょじゅつ)
歯根端切除術 症例1(術後約5年経過症例)

静脈内鎮静法による麻酔代込み:約18万円(保険適用外)
歯牙腫(しがしゅ)
歯牙腫摘出 症例1


歯牙腫摘出の症例です。歯の腫瘍のようなもので、当院では良性腫瘍のケースを主に除去しています。成人の若い方に多く、症状や主訴としては、お口の違和感や歯ぐきの腫れ、歯と似たようなものが歯ぐきから飛び出してきたり等です。ピエゾサージェリーを使用し、口蓋アプローチで周囲の歯牙は抜髄せず、腫瘍のみ丁寧に摘出したケースです。
料金
静脈内鎮静法による麻酔代込み:約15~20万円(保険適用外)
歯牙腫摘出 症例2+埋伏歯(まいふくし)

歯牙腫摘出と埋伏歯抜歯のコンビネーション症例です。お口の違和感で来院された20代女性の方です。抜歯、摘出はピエゾサージェリーを併用するので周囲の歯にダメージを与えず摘出可能、低侵襲に行えます。
通院回数事前検査から手術~抜糸~消毒などを含めて5回、治療期間は約1ヶ月でした。静脈内鎮静法による無痛リラクゼーション麻酔を行い、無痛下で行いました。
料金
静脈内鎮静法による麻酔代込み:約15~20万円(保険適用外)
歯牙腫摘出 症例3(集合性歯牙腫摘出術)

集合性歯牙腫摘出術は口蓋側からアプローチ。ピエゾサージェリで慎重に。神経を保存して行いました。
料金
静脈内鎮静法による麻酔代込み:約15~20万円(保険適用外)
唾石(だせき)
右顎下腺管内の唾石摘出術 症例

唾石(だせき)とは唾液腺にできる結石のことです。当院のケースとしては珍しい手術ですが、このような症状にも外科処置で対応しております。リラックス麻酔による静脈内鎮静下にて摘出術を施行しました。
症状としては、唾腺痛(だせんつう)といって、食事時に唾液が出るときに痛みが出ます。また舌下部の違和感などもあります。当院では唾液腺の分泌障害、唾液腺の痛み・腫れなどでお困りの方のための唾石摘出術を積極的に行っております。
料金
静脈内鎮静法による麻酔代込み:約11万円(保険適用外)
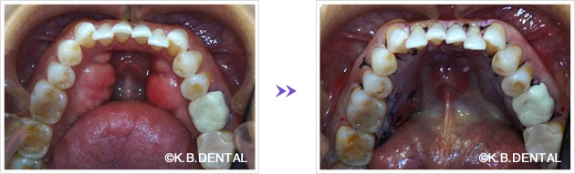
下顎骨隆起(かがくこつりゅうき)
下顎骨隆起除去 症例1(外科治療によるいびき改善)
下記の症例は、過度な咬み合わせ・食いしばりにより、下顎の頬側の骨が隆起して、就寝時に気道の確保が困難となり、いびきを発生させてしまっていたケースです。


過度な咬み合わせ・食いしばりにより、下顎の頬側の骨が隆起して、就寝時に気道の確保が困難となり、いびきや睡眠時無呼吸症候群を引き起こしていたケースです。
当院では、このような睡眠時無呼吸症候群の原因の一つである下顎骨骨隆起の切除も外科処置で対応できます。リラックス無痛麻酔を施し、安全に治療を行います。
料金
静脈内鎮静法による麻酔代込み:約15万円(保険適用外)
下顎骨隆起除去 症例2(下顎舌側両側骨隆起)

下顎の舌側に発生した骨隆起です。手術時間は約2時間で、静脈麻酔下で除去します。
料金
静脈内鎮静法による麻酔代込み:約20万円(保険適用外)
下顎骨隆起除去 症例3(下顎舌側両側骨隆起)

下顎の舌側に発生した骨隆起です。手術時間は約2時間で、静脈麻酔下で除去します。
料金
静脈内鎮静法による麻酔代込み:約20万円(保険適用外)
上顎骨隆起(じょうがくこつりゅうき)
上顎外側骨隆起 症例1

咬合の応力は上顎の場合、必ずしも口蓋正中に集中するわけではありません。
歯列や歯牙の傾斜の角度により外側に分散することがあります。
その場合、上下とも外側に大きな骨隆起を生じます。
これが大きくなりすぎると食物残渣の停滞を引き起こし口腔内の不快感、口腔衛生状態の悪化につながります。
治療は外科的に除去することが第一選択肢となります。
料金
静脈内鎮静法による麻酔代込:約17万円(保険適用外)
上顎外側骨隆起 症例2(上顎の頬側にできた骨隆起)


笑った時にゴボ口となりやすく、隆起した部分に食物残渣などが生じやすいケースです。静脈麻酔で約1時間半程度要します。
料金
静脈内鎮静法による麻酔代込:約20万円(保険適用外)
上顎外側骨隆起 症例3(上顎の頬側にできた骨隆起)


笑った時にゴボ口となりやすく、隆起した部分に食物残渣などが生じやすいケースです。静脈麻酔で約1時間半程度要します。
料金
静脈内鎮静法による麻酔代込:約20万円(保険適用外)
頬粘膜腫瘍(きょうねんまくしゅよう)
頬粘膜腫瘍摘出


内頬をベロで触ると違和感があるとのことで来院。ほっぺたを噛んでしまうことでできやすい繊維腫の一種です。ほっぺたにデキモノがあり痛みがあるとのことで来院。2番目の症例は、摘出術~真皮欠損グラフト【テルダーミス】までを行いました。
当院では摘出した物は全て病理検査に送り、陽性か陰性(良性)かをキチンと調査します。
料金
静脈内鎮静法による麻酔代込み:約11万円(保険適用外)
ガマ腫
ガマ腫 症例1(舌下型ガマ腫)

ベロの下に出来る唾液腺腫瘍の一種です。舌の違和感があり来院されました。舌下部の挫滅や原因不明でできることもあります。OK-432注入療法を用い、従来の開窓療法に比べ、再発率も侵襲性も低い治療で行いました。
料金
約2万円(保険適用外)
ガマ腫 症例2(顎下型ガマ腫)


OK-432(ピシバニール)注入療法。従来の開窓療法に比べ再発率も侵襲性も低い治療です。今回のケースも顎下部より穿刺吸引し、その後OK-432を注入しました。術前、術直後でもかなり違いがわかります。まずはカウンセリングから始めさせていただきます。
料金
約2万円(保険適用外)
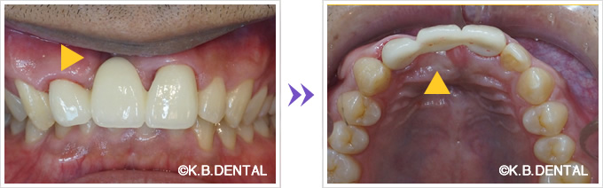
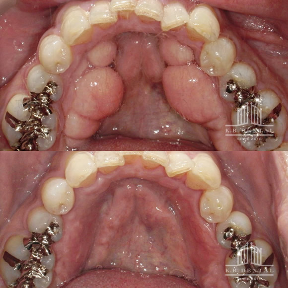
口蓋隆起(こうがいりゅうき)
口蓋隆起 症例1

噛む力の強い方に起きやすいケースです。上顎の総入れ歯が入れられないということで来院されました。なぜこのように上顎の骨が出てくるかというと、例えば、家の屋根があったとして、上から力がかかると応力で屋根の真ん中がたわんできます。
それと同じように正中口蓋の真ん中に亀裂(ヒビ)が入らないように、人間の体も生体防御反応で守ろうとし、真ん中に骨を作ろうとして骨添加が起きます。トレーニングでベンチプレスをする方でも、最初は腕が細い人がプルプル震えると思います。繰り返すうちに、だんだんと腕の骨の周囲を筋肉が肥大して腕を支えてくれます。それと同じような現象です。
料金
静脈内鎮静法による麻酔代込み:約15万円(保険適用外)
口蓋隆起 症例2


口蓋隆起 症例3


歯の内側に発生したタイプの骨隆起です。静脈麻酔で約1時間半程度要します。
料金
静脈内鎮静法による麻酔代込み:約20万円(保険適用外)
口蓋隆起 症例4(正中口蓋隆起)

口蓋の正中に発生した骨隆起です。静脈麻酔で約1時間半程度要します。
料金
静脈内鎮静法による麻酔代込み:約20万円(保険適用外)
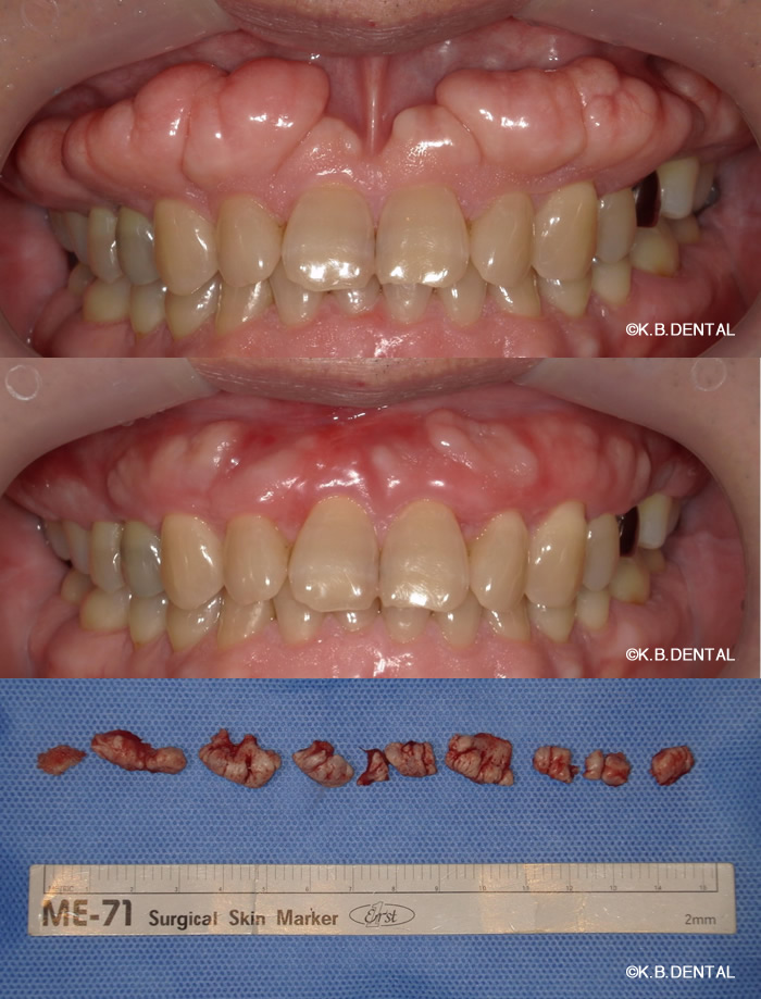
口蓋隆起 症例5(口蓋隆起形成術)

無痛治療での口蓋隆起形成術。骨ノミとピエゾサージェリーを使い、低侵襲な手術を行いました。上顎の違和感がなくなります。
料金
静脈内鎮静法による麻酔代込み:約15万円(保険適用外)
口蓋隆起 症例6(口蓋隆起形成術+親知らず抜歯)

無痛治療で口蓋隆起形成術。同時に左上の親知らずも抜歯しました。ピエゾサージェリーも使い低侵襲な手術を行いました。上顎の違和感がなくなります。
料金
静脈内鎮静法による麻酔代込み:約15万円(保険適用外)
舌腫瘍(ぜつしゅよう)
舌腫瘍摘出 症例

舌(ベロ)の先にデキモノが出来たとのことで来院。正確には繊維腫で、舌の筋肉の部分を噛んでしまうことにより、線維性の腫瘍が出来てしまう症状です。形態に留意して舌腫瘍の除去。摘出物は病理検査も行います。
料金
静脈内鎮静法による麻酔代込み:約11万円(保険適用外)
粘液嚢胞(ねんえきのうほう)
粘液嚢胞摘出 症例1

唇の中に走っている唾液腺の一部を噛んでしまって出来てしまうケースです。炎症が出たり消えたりして痛みや違和感があり、中々治らないとの主訴で来院するケースが多いです。術後は瘢痕もなくキレイになりました。
料金は保険適用で約10,000円の治療費用です。
粘液嚢胞摘出 症例2(粘液貯留嚢胞の摘出と同時に行うサイナスリフト)

このパノラマで球状にやや不透過な嚢胞様の画像が確認できます。

CTで見るとくっきりと映ります。

そして手術を行ってまず上顎洞の前壁を取って、シュナイダー膜を明示するとかなり膜に圧力がかかっていて、内圧が上昇しているのがわかりました

穿刺したので内圧が弱まり粘膜が挙上できる様になりました。

穿刺だけでは粘液貯留嚢胞の摘出が不十分なので、最終的にメスで切開して摘出しましたが、シュナイダー膜の先行部分が大きくなったのでメンブレンで封鎖したところです

人工骨を填入して、

縫合したところです。

結局2cc程度内容液を吸引しました。

術前と術後の比較CTです。上顎洞がクリアになって内圧が弱まったので、サイナスリフトした人工骨の吸収スピードも緩徐になります。内圧が高いとどうしても吸収スピードが早まるので、こう言った場合は嚢胞を摘出してサイナスリフトをする方が確実だと思います。

術後のパノラマ画像です。嚢胞の影も消えてます。軟組織に関する手術も神経血管が多くて粘膜だけでなく、時に皮膚にも触れなければならないので難しさはあります。
粘液嚢胞摘出 症例3(頬粘膜腫瘍摘出)

1週間でここまでキレイになります。摘出物は病理検査を行っています。
料金
静脈内鎮静法による麻酔代込み:約11万円(保険適用外)
顎骨腫瘍+埋伏歯(がっこつしゅよう+まいふくし)
顎骨腫瘍摘出+埋伏歯抜歯 症例1

珍しい症例で、歯を含む膿胞のケースです。この方は、一般的な親知らず付近の痛みで来院されましたが、親知らず付近の顎骨腫瘍の場合、神経や血管のの近くに出来て、激痛や顎のシビレ、膿が出る症状が伴うこともあります。このような親知らずが全く逆さまに埋まっている場合、他の病院で検査していたとしても抜けないということで放置しているケースも多々あります。
料金
静脈内鎮静法による麻酔代込み:約15~20万円(保険適用外)
顎骨腫瘍摘出+埋伏歯抜歯 症例2(口腔外からの埋伏抜歯+顎骨腫瘍摘出術)

様々な問題で口腔内からの処置が難しい場合には口腔外から行うこともあります。
料金
静脈内鎮静法による麻酔代込み:約15~20万円(保険適用外)
顎骨腫瘍摘出+埋伏歯抜歯 症例3

埋伏抜歯+顎骨腫瘍摘出術のケース。大きな嚢胞を一塊で摘出して病理検査に出します。
料金
静脈内鎮静法による麻酔代込み:約15~20万円(保険適用外)
正中過剰埋伏歯(せいちゅうかじょうまいふくし)
正中過剰埋伏歯 症例

正中過剰埋伏歯の症例です。鼻腔底直下にあるので、静脈内鎮静を使い無痛抜歯で対応しました。抜歯が怖い方はご相談下さい。
料金は保険適用で約10,000円の治療費用です。
歯槽骨骨折、歯牙亜脱臼
外傷による歯槽骨骨折、歯牙亜脱臼 症例

外傷による歯槽骨骨折、歯牙亜脱臼。整復~線福子固定を行いました。できる限りの救急対応も行っております。
料金は保険適用で約10,000円の治療費用です。
埋伏親知らず+含歯性嚢胞
埋伏親知らず抜歯+含歯性嚢胞摘出術 症例

埋伏親知らず抜歯+含歯性嚢胞摘出術のケース。大きな嚢胞を一塊で摘出して病理検査に出します。
料金
静脈内鎮静法による麻酔代込み:約15~20万円(保険適用外)
ブランディンヌーン嚢胞
BLANDIN NUHN嚢胞 症例

主に舌尖部の裏側に出来る粘液嚢胞。一般的に手術は全摘出ですが手術後の再発率が高いと言われてます。

舌尖部を牽引して、摘出予定の嚢胞をマーキングします。

小唾液腺の取り残しが再発リスクを高めるのでしっかり取り除きます。

筋層縫合を加えて、手術創の哆開を防止して粘膜縫合の負担を軽減します。

粘膜縫合を終えて手術終了です。

▲摘出した嚢胞
歯根嚢胞(しこんのうほう)
歯根嚢胞によりオトガイ神経麻痺が生じたケース


静脈内鎮静法による麻酔代込み:約20万円(保険適用外)
セメント質骨形成線維種


40代女性の右下顎角部に生じた良性腫瘍。特徴として発育緩慢で顎骨に無痛性の膨隆をきたし、皮質骨の菲薄化が見られるようになります。
神経と血管の管(下顎管)まで波及し、神経麻痺を主訴にご来院されました。今回は病巣部の歯牙を抜歯して同時に腫瘍を摘出し、一部健常部まで拡大して顎骨を切除しました。
術中は一部神経と動脈を巻き込んでいるため出血をコントロールしながら行います。

病理組織初見の特徴として以下が挙げられます。
- 細胞成分に富む線維性結合組織が増生する中にセメント質様ないし骨様の硬組織形成がみられる。
- 形成された硬組織周囲には骨芽細胞様細胞の縁取りが認められる。
- 周囲の既存骨との境界が明瞭。
静脈麻酔による日帰り手術で総額約20~25万円(保険適用外)
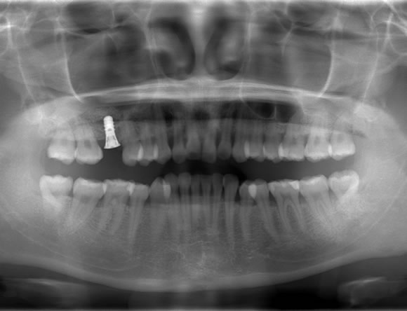
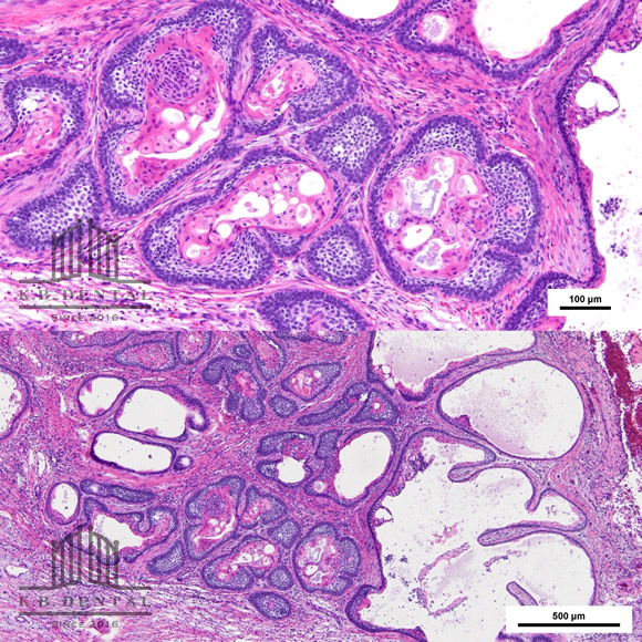
エナメル上皮腫(濾胞型)
術後2年経過の最も典型的なエナメル上皮種です。再発率が非常に高いので最低でも5年以上の経過観察が必要となります。今回は摘出術と一部健常域まで辺縁切除(骨を削る)を行いました。

1枚目(パノラマ)上:術前 下:術後 摘出部分に新生骨を認めます。
2枚目(CT)上:術前 下:術後 摘出部分に新生骨を認めます。
3枚目 左:摘出物の腫瘍本体と割断像 右:割断して内容物が充実性である事がわかります。
4枚目 上:高倍率 下:低倍率 腫瘍実質の胞巣が濾胞状を示しているのがわかります。
ドクターより
上記の症例以外にも、当院で診る症状として、脂肪腫、骨腫、線維腫、セメント出腫、…等々、さまざまな口腔外科手術を積極的に行っております。いち診療所レベルでこれだけのさまざまな口腔外科・病理を診るドクターは全国でも限られております。
「大学病院を紹介されたが、大学病院には行きたくない」「近くで何とか治療を済ませたい」等、そのような方はご相談ください。
当院ドクターも100%すべての症例を治療可能な訳ではありませんが、大学病院時代に培った経験から、できるだけ患者さんのご要望にお応えしたいと考えております。まずはお気軽にお問い合わせ・ご相談下さい。
歯科口腔外科で使う主な器具
ピエゾサージェリー
手術を効率的、かつ低侵襲に行うための器具として、京セラのバリオサージというピエゾサージェリーを導入しています。リスクのある外科手術の場合、血管などを傷つけずに済むのでより低侵襲で安全な治療が可能になります。高難易度の親知らず治療にも一役担います。
医科用の電気メス
SL-5という電気メスを導入しています。医科用の電気メスで指先でスイッチの切り替えができます。口腔内の外科手術にとても適しており、安全性も向上しています。
外科用LEDヘッドライト
歯科口腔外科のオペ時など、細かい作業が要求されるときは、外科用のLEDヘッドライトを使用しています。診療ユニットのライトに比べ、目線の動きに合わせて患部を照らしてくれるため、死角や影が出来にくいのが特長です。
口腔ガン検診
お口の中の違和感や以上、気になりませんか。当院では「ベルスコープVX」という器具を導入し、口腔ガン検診を行っております。
顎関節症
顎関節症専門外来も設けております。顎の痛みや口が開かない等の症状、違和感などご相談ください。
親知らず
真横に生えていたり、歯ぐきに埋まっていたりするような難しい親知らずの抜歯も行っております。詳しくは「親知らず専門外来」のページをご覧ください。
ぶつけた・折った等の外傷
接触事故や転倒など、歯を強くぶつけて打撲したり、歯を折ったり、抜け落ちたりした場合の外傷処置も行っております。
日本外傷歯学会(JADT)の理事・認定医を務めるドクター河合が直接担当いたします。
歯科口腔外科治療のリスク・副作用について
健康保険と自費の適用、費用について
歯科口腔外科治療は、一部健康保険対象外の治療があります。
未承認医薬品、医療機器等の使用
当院では、歯科口腔外科治療において国内で承認されていない未承認医薬品、医療機器等を使用しておりません。
リスク・副作用
- 歯科口腔外科治療は外科手術を伴います。
- 手術後の腫れ・痛みを伴うことがあります。個人差がありますが、痛み止めや抗生剤をお出ししております。一時的なもので、多くの場合2~3日で治まります。
- 骨造成治療を行った場合、骨ががしっかりと作られるまで3~6ヶ月間の治癒期間が必要です。
- 心疾患、骨粗鬆症等、内科的な疾患のある方は、歯科口腔外科治療が適さないケースもあります。また普段服薬しているお薬等も治療に影響する事があります。
- 免疫力や抵抗力が低下している方、糖尿病の方、口腔内の衛生状態の悪い方、喫煙者の方は、歯科口腔外科治療がすぐにできない事があります。
- お身体の状態や細菌感染により、治癒が遅くなる、もしくは治らない場合があります。この場合、原因を取り除いてご希望により再治療を行います。
- 妊婦の方は歯科口腔外科治療が受けられません。







