河合式スピードセラミック矯正とは

| 治療期間 | 3週間 |
|---|---|
| 費用 | 8本:64~72万円(税別) |
| リスク副作用等 | セラミック治療のリスク副作用について |
河合式スピードセラミック矯正
一般的なセラミック矯正は、1~3ヶ月の時間を要しますが、当院のスピードセラミック矯正は最短3週間でキレイな歯並びを作り出すことができます。スピードセラミック矯正、スピードジルコニア矯正、クイック矯正等とも言われています。
そのため、キレイな歯並びを早く実現したい、矯正をしたいけど時間がかかるのは嫌、という方々に喜ばれているセラミック治療の方法です。
一般的な矯正との治療期間比較
| 術式 | 治療期間 |
|---|---|
| ワイヤーによる矯正 | 約2~3年 |
| 一般的なセラミック矯正 | 1~3ヶ月 |
| 河合式スピードセラミック矯正 | 最短3週間(10日間も可能) |
患者さんのお顔を拝見しながら、ドクターの頭の中にある黄金比率で、ある程度の仮歯をその場で製作いたします。本番のセラミック歯が入るまで、日常生活に支障のないよう、仮歯でお過ごしいただけます。
最短3週間後に、ジルコニアセラミックの前歯が入ります。その後は、ご希望に応じて検診にいらしてください。
スピードセラミック矯正の流れ
1日目
- 無料カウンセリング(状態説明、治療方法相談)
- 素材決定
- お見積もり(総額)
- 各種検査(口腔内写真・レントゲン撮影)

2日目
- 歯冠形成
- 仮歯製作(E-ライン、スマイル・リップラインに合わせて最終形態を見越した仮歯製作)

3日目
- 型取り
- シェードテイク
- 約10日後に完成することを説明
4日目
- 噛み合わせチェック
- 完成したセラミックを装着
- 定期検診へ
- 4回通院の場合の最短日数です
- 2回の通院で約10日間、2回の通院で約2週間の短期セラミック矯正も可能です

| 治療期間 | 3週間 |
|---|---|
| 費用 | 8本:68~76万円(税別) |
| リスク副作用等 | セラミック治療のリスク副作用について |
よくある質問Q&A
- 素材に使われるジルコニアとはどんなセラミックですか?
- 医療にも使用される生体親和性の高い材料ですジルコニアは医療用人工関節や高級陶器など、生体に馴染みの高い白いダイアモンドとも呼ばれるセラミックです。強度が高く光を透過し審美的に美しい質感のセラミック歯を製作することができます。
- 未成年ですが、セラミック矯正はできますか?
- 保護者(親)の承諾を必ず得てください。基本的にスピードセラミック矯正は20歳以上の成人の方を対象としております。未成年の方で、どうしても治療をご希望の方は、必ず保護者の承諾を得てからのスタートとなります。またドクターの判断で、ご希望されても治療をお断りする場合もございます。
- 治療を無理に勧められないか心配です
- 事前の無料相談を行っており、後日お決めいただいております当院では、スピードセラミック矯正にご興味がある方の事前の「カウンセリング相談」を行っております。治療期間や流れ、おおよその金額などを事前にお伝えし、治療プランをお持ち帰りになられてから、後日治療をスタートするかどうかお決めいただいております。決して無理に治療をおすすめすることはございません。じっくりとお悩み・ご希望をお聞かせいただければと思います。
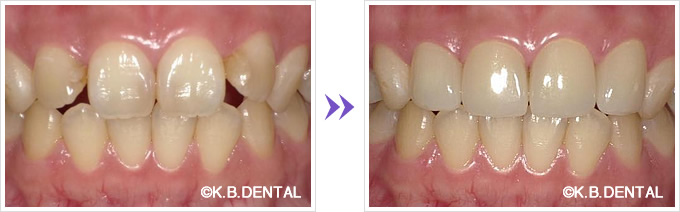
当院の症例
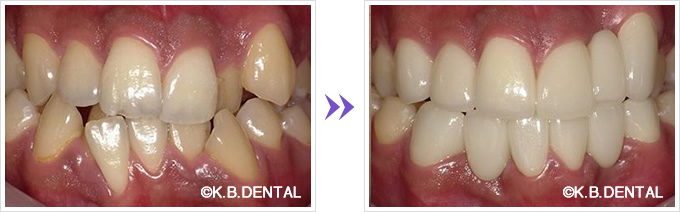
叢生(乱ぐい歯)の前歯6本をセラミック



| 治療期間 | 3週間 |
|---|---|
| 費用 | 6本:51~57万円(税別) |
| リスク副作用等 | セラミック治療のリスク副作用について |
ガタガタの前歯6本をセラミックに。キレイに形態を改善できるだけでなく、色もご希望の白さにできるのがセラミック矯正のポイントです。乱ぐい歯だけでなく交叉咬合も併発していたので、咬み合わせも同時に回復しました。
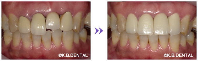
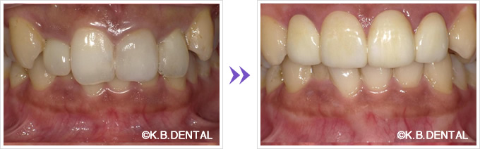
前歯上下6本をセラミック矯正


| 治療期間 | 3週間 |
|---|---|
| 費用 | 12本:102~114万円(税別) |
| リスク副作用等 | セラミック治療のリスク副作用について |
上下前歯をセラミック矯正へ。コンプレックスな歯並びを短期間でキレイに並べます。
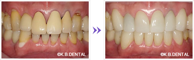
前歯4本をセラミック

| 治療期間 | 3週間 |
|---|---|
| 費用 | 4本:34~65万円(税別) |
| リスク副作用等 | セラミック治療のリスク副作用について |
このような前歯2本が出ている、いわゆるエビフライのしっぽの形態のような出っ歯ケースのお悩みは多いご相談です。このような出っ歯でもセラミック矯正で修復が可能です。
神経が失活し変色した前歯をセラミック


| 治療期間 | 3週間 |
|---|---|
| 費用 | 1本:8.5~8.5万円(税別) |
| リスク副作用等 | セラミック治療のリスク副作用について |
いわゆる歯の神経(歯髄)が死んで前歯が変色したケースです。過去に前歯を強くぶつけたり、神経の治療を行った影響で変色が発生する場合があります。このようなケースでもセラミック矯正で修復できます。
歯肉切除+セラミック矯正



| 治療期間 | 3週間 |
|---|---|
| 費用 | セラミック:6本:51~57万円(税別) 歯肉切除術:3万円(税別) |
| リスク副作用等 | セラミック治療のリスク副作用について |
歯肉切除術を併用したセラミック矯正です。歯の位置を上方に修正し、まずはガミースマイル改善、その後顔貌にあったセラミックで修復しました。自然な笑顔に自信が持てるようになりました。
インプラントを併用したセラミック


| 治療期間 | 3ヶ月 |
|---|---|
| 費用 | セラミック:6本:51~57万円(税別) インプラント:67万円(税別) 静脈内鎮静法:5.5万円(税別) |
| リスク副作用等 |
歯科恐怖症があり歯科治療を中断していた患者様でした。静脈内鎮静法を併用してインプラントを行い審美面、かみ合わせも含め改善できました。
前歯6本の大きさを小さく整えたセラミック矯正



| 治療期間 | 3週間 |
|---|---|
| 費用 | 6本:51~57万円(税別) |
| リスク副作用等 | セラミック治療のリスク副作用について |
前歯6本による審美セラミック矯正治療を行わせていただきました。口元写真を見ると大きく見えていた前歯も小さくなり、顔貌のバランスも自然になりました。顔面計測から適切な前歯の長さを設定致します。
前歯4本をセラミック


| 治療期間 | 3週間 |
|---|---|
| 費用 | 4本:34~65万円(税別) |
| リスク副作用等 | セラミック治療のリスク副作用について |
事前のカウンセリングをしっかり行わせていただき、顔貌計測から最適な仮歯を製作いたします。仮歯の形態でご納得いただけたら、その仮歯を基にイメージ通りのセラミック歯を製作します。
奥歯の銀歯をセラミックに・前歯もオールセラミック

| 治療期間 | 4週間 |
|---|---|
| 費用 | 9本:77.5~85.5万円(税別) |
| リスク副作用等 | セラミック治療のリスク副作用について |
前歯を審美的に仕上げて、全ての銀歯をセラミックにしました。事前のカウンセリングをしっかり行わせていただき、顔貌計測から最適な仮歯を製作し、仮歯の形態にご納得いただけたら、その仮歯を基にイメージ通りのセラミック歯を製作します。
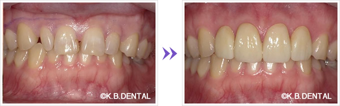
捻じれた前歯を含む前歯6本をセラミック


| 治療期間 | 3週間 |
|---|---|
| 費用 | 6本:51~57万円(税別) |
| リスク副作用等 | セラミック治療のリスク副作用について |
前歯が捻じれている(捻転している)ケースはよく見かけます。セラミック矯正であれば形とともに色も改善でき、キレイに仕上げることも可能です。
上唇小帯切除術+上顎前歯6本の審美セラミックブリッジ


| 治療期間 | 4週間 |
|---|---|
| 費用 | セラミック:6本:51~57万円(税別) 上唇小帯切除術:3万円(税別) |
| リスク副作用等 | セラミック治療のリスク副作用について |
審美を兼ねて上唇小帯切除術、スマイルライン、リップラインを考慮して上顎前歯6本のセラミックブリッジを製作しました。カウンセリングをしっかり行い、イメージ通りに仕上げていきます。
上顎前歯6本の審美セラミック矯正



| 治療期間 | 3週間 |
|---|---|
| 費用 | 6本:51~57万円(税別) |
| リスク副作用等 | セラミック治療のリスク副作用について |
上顎前歯6本による審美セラミック治療を行わせていただきました。前歯の形態によっては神経を残して被せることも可能です。
前歯2本のセラミック矯正

| 治療期間 | 3週間 |
|---|---|
| 費用 | 2本:17~19万円(税別) |
| リスク副作用等 | セラミック治療のリスク副作用について |
前歯2本による審美セラミック治療を行わせていただきました。顔面計測から適切な前歯の長さを設定しました。
ツヤの無いざらざらした出っ歯の前歯6本をセラミックへ


| 治療期間 | 10日間 |
|---|---|
| 費用 | 6本:51~57万円(税別) |
| リスク副作用等 | セラミック治療のリスク副作用について |
「全体的な出っ歯を治したい」とのお悩みで来院。ご希望に沿った仮歯を製作し、そこから型を取り完成まで約10日。事前にカウンセリングを行い、素材や色調を患者さんと慎重に吟味して選びました。納得して治療を受けていただくために事前のカウンセリングにかなり時間を割きますが、その分後悔しない仕上がりになります。患者さま各々の希望に合わせたオーダーメイドな治療を提供します。
変色した前歯6本をセラミック

| 治療期間 | 3週間 |
|---|---|
| 費用 | 6本:51~57万円(税別) |
| リスク副作用等 | セラミック治療のリスク副作用について |
過去の古い被せ物が変色しており自然ではありませんでした。前歯6本をご希望の白さでセラミックに変更しました。
ホワイトニング+前歯4本のオールセラミック

| 治療期間 | 3週間 |
|---|---|
| 費用 | セラミック:4本:34~65万円(税別)
オフィスホワイトニング:2.5万円(税別) |
| リスク副作用等 | セラミック治療のリスク副作用について |
ホワイトニング+上前歯4本セラミックのケースです。全て神経を残してセラミック治療しました。ホワイトニングでご希望の色まで白くしてからセラミックの色を合わせます。
古く変色した前歯ブリッジをセラミック審美ブリッジで改善+歯肉切除術


| 治療期間 | 3週間 |
|---|---|
| 費用 | 9本:76.5~85.5万円(税別) 歯肉切除術:3万円(税別) |
| リスク副作用等 | セラミック治療のリスク副作用について |
過去の古い変色した前歯ブリッジをセラミック審美ブリッジで改善したケースです。歯肉切除も行ってガミースマイルも同時に改善しました。
古い前歯の変色したクラウンをオールセラミッククラウンに


| 治療期間 | 3週間 |
|---|---|
| 費用 | 6本:51~57万円(税別) |
| リスク副作用等 | セラミック治療のリスク副作用について |
上顎前歯6本による審美セラミック治療を行わせていただきました。神経を残して被せることができました。
傾いた前歯4本をオールセラミック

| 治療期間 | 3週間 |
|---|---|
| 費用 | 4本:34~65万円(税別) |
| リスク副作用等 | セラミック治療のリスク副作用について |
上顎前歯4本をセラミックへ。スマイルライン、リップラインに合わせて理想的な口元をプロデュース致します。
変色した前歯1本のオールセラミッククラウン


| 治療期間 | 3週間 |
|---|---|
| 費用 | 1本:8.5~9.5万円(税別) |
| リスク副作用等 | セラミック治療のリスク副作用について |
変色した前歯1本をセラミックで改善したケース。全体と調和させながらイメージを共有して仕上げます。
古い前歯の詰め物の変色⇒ジルコニアセラミッククラウン

| 治療期間 | 3週間 |
|---|---|
| 費用 | 1本:8.5~9.5万円(税別) |
| リスク副作用等 | セラミック治療のリスク副作用について |
ジルコニアクラウンのケースです。色調を天然歯に近づけて製作します。
歯ぐきが下がった古いクラウンをオールセラミックで改善

| 治療期間 | 3週間 |
|---|---|
| 費用 | 4本:34~65万円(税別) |
| リスク副作用等 | セラミック治療のリスク副作用について |
セラミック前歯4本で古いセラミックを新しくしました。正中ラインを修正して自然なスマイルラインに。今回もカウンセリングを重ね色調も慎重に選定、患者さま各々に合ったデザインを提供させて頂きます。
上下前歯のプレミアムジルコニアクラウン

| 治療期間 | 4週間 |
|---|---|
| 費用 | 12本:102~114万円(税別) |
| リスク副作用等 | セラミック治療のリスク副作用について |
プレミアムジルコニアクラウンのケースです。強度と審美性を兼ね備えたおすすめの補綴物です。
変色前歯1本のオールセラミッククス+ガムピーリング

| 治療期間 | 4週間 |
|---|---|
| 費用 | セラミック:1本:8.5~9.5万円(税別) ガムピーリング:1万円(税別) |
| リスク副作用等 | セラミック治療のリスク副作用について |
前歯1本だけのセラミック治療を行い、歯肉の着色に対してガムピーリングを行いました。ガムピーリングは1歯あたり500円程度で歯茎の着色を改善します。歯茎の黒ずみが気になる方もぜひ一度カウンセリングにお越しください。
変色した保険被せ物⇒前歯6本連結のオールセラミックブリッジ



| 治療期間 | 10日間 |
|---|---|
| 費用 | 6本:51~57万円(税別) |
| リスク副作用等 | セラミック治療のリスク副作用について |
セラミック前歯6本の審美ブリッジケースです。変色した保険の被せ物を外し、仮歯を製作、そこから型を取り完成まで約10日。事前にカウンセリングをしっかりと行わせていただき、素材や色調などを患者さんと慎重に吟味しながら選びました。
後退した歯ぐきの歯周病治療+前歯5本のオールセラミッククラウン


| 治療期間 | 5週間 |
|---|---|
| 費用 | セラミック:5本:42.5~47.5万円(税別) 歯周病:保険適用内 |
| リスク副作用等 | セラミック治療のリスク副作用について |
歯周病の治療を徹底的に行い、歯茎を健康な状態に改善させてから仮歯を製作、形態修正してから、型を取りオールセラミッククラウン5本の色調を慎重に選ばせていただきました。
歯周病で下がった歯茎の治療後に前歯6本のオールセラミックス


| 治療期間 | 3週間 |
|---|---|
| 費用 | 6本:51~57万円(税別) |
| リスク副作用等 | セラミック治療のリスク副作用について |
このように昔の被せ物の根元が歯周病などでむき出しに下がって見えている場合でもご相談ください。当院の歯周病治療とオールセラミッククラウン修復で解決できる場合がります。
上唇小帯切除+歯槽骨整形+前歯4本オールセラミッククラウン



| 治療期間 | 4週間 |
|---|---|
| 費用 | セラミック:4本:34~65万円(税別) 上唇小帯切除術:3万円(税別) 歯槽骨整形:5万円(税別) |
| リスク副作用等 | セラミック治療のリスク副作用について |
セラミック前歯4本のケースです。今回は上唇小帯切除、歯槽骨整形して一番気になっていた、鼻の下からの出っ張りを改善させました。そこから仮歯を製作して形態修正、色調を慎重に選ばせていただきました。
歯ぐき境目の黒ずみをジルコニアオールセラミックスで改善


| 治療期間 | 3週間 |
|---|---|
| 費用 | 4本:34~65万円(税別) |
| リスク副作用等 | セラミック治療のリスク副作用について |
歯ぐきの境目の黒ずみ(ブラックマージン)をジルコニアクラウンで修復したケースです。
変色した古い前歯の詰め物を4本オールセラミッククラウン

| 治療期間 | 3週間 |
|---|---|
| 費用 | 4本:34~65万円(税別) |
| リスク副作用等 | セラミック治療のリスク副作用について |
過去の前歯の詰め物が変色してていました。前歯4本のオールセラミッククラウンで改善しました。
上下前歯1本のオールセラミッククラウンで捻じれと変色を改善

| 治療期間 | 3週間 |
|---|---|
| 費用 | 1本:8.5~9.5万円(税別) |
| リスク副作用等 | セラミック治療のリスク副作用について |
より自然な見た目を追求します。下顎のオールセラミッククラウンについてもご相談下さい。
ラミネートべニア+セラミック矯正


| 治療期間 | 3週間 |
|---|---|
| 費用 | 2本:17~19万円(税別) ラミネートべニア:17万円(税別) |
| リスク副作用等 | セラミック治療のリスク副作用について |
ラミネートべニアで削りすぎず、神経も残せてキレイかつ自然な仕上がりに。
テトラサイクリン変色歯をオールセラミッククラウン


| 治療期間 | 3週間 |
|---|---|
| 費用 | 4本:34~65万円(税別) |
| リスク副作用等 | セラミック治療のリスク副作用について |
セラミッククラウンで変色歯もキレイに。歯周治療~審美までトータルに行います。
全体的に捻じれた前歯をセラミック矯正

| 治療期間 | 3週間 |
|---|---|
| 費用 | 9本:76.5~85.5万円(税別) |
| リスク副作用等 | セラミック治療のリスク副作用について |
歯周治療+歯肉形態修正を併用したセラミック矯正。フルジルコニアクラウン9本の補綴で見た目を自然に美しく仕上げました。このようにお口が全体的に捻じれた歯でもご相談下さい。
前歯の表面が変色・デコボコの状態をジルコニアオールセラミックスクラウン

| 治療期間 | 3週間 |
|---|---|
| 費用 | 4本:34~65万円(税別) |
| リスク副作用等 | セラミック治療のリスク副作用について |
ジルコニアクラウンはセラミックより安価で丈夫、そしてキレイです。
他院のセラミックの再治療

| 治療期間 | 3週間 |
|---|---|
| 費用 | 4本:34~65万円(税別) |
| リスク副作用等 | セラミック治療のリスク副作用について |
他院でのセラミックが気にいらないとのことで当院にてやり直しました。歯肉整形して4本ジルコニアクラウンへ。満足していただけました。
1本だけ引っ込んだ前歯を歯肉整形+セラミック矯正で改善


| 治療期間 | 3週間 |
|---|---|
| 費用 | 1本:8.5~9.5万円(税別) |
| リスク副作用等 | セラミック治療のリスク副作用について |
唇が挙がらない、前歯1本奥に引っ込んでいるとのお悩みで来院。上唇小帯切除術で挙がりやすくし、右上1番の歯肉整形+セラミック矯正で改善しました。
正中離開、ガミースマイルをセラミック矯正で改善

| 治療期間 | 3週間 |
|---|---|
| 費用 | 4本:34~65万円(税別) |
| リスク副作用等 | セラミック治療のリスク副作用について |
正中離開、ガミースマイルをセラミックで改善したケースです。
すきっ歯(空隙歯列)をセラミック矯正

| 治療期間 | 3週間 |
|---|---|
| 費用 | 6本:51~57万円(税別) |
| リスク副作用等 | セラミック治療のリスク副作用について |
全体的なすきっ歯をセラミック矯正で改善したケースです。治療期間は3週間で全て神経を残して被せています。
ガミースマイル・矮小歯・すきっ歯をセラミック矯正


| 治療期間 | 4週間 |
|---|---|
| 費用 | 4本:34~65万円(税別) |
| リスク副作用等 | セラミック治療のリスク副作用について |
ガミースマイル治療+セラミック矯正の併用治療です。ジルコニアクラウンでキレイに整えました。







