関内馬車道デンタルオフィスでは、お口の中が全体的にボロボロ、何回も歯科医院に通ってもなかなか治らない、…など、口腔内全体を診た治療する全顎治療(フルマウス治療)を行っております。

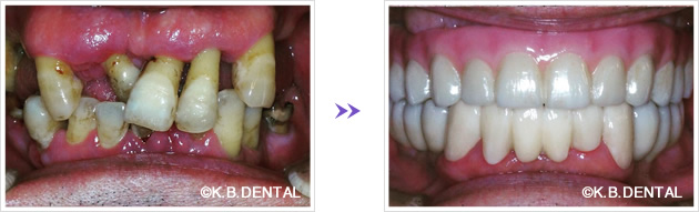
ボロボロの歯術前術後

治療期間 約9ヶ月
費用 350万円(税別)
リスク副作用等 インプラントの治療内容・リスク副作用について

▲歯周病でボロボロ・グラグラだった男性の例
インプラントとフルブリッジによる治療で回復しました

インプラントとフルブリッジ症例

治療期間 約6ヶ月
費用 250万円(税別)
リスク副作用等

▲歯周病で被せ物の土台だった歯がグラグラだった70代女性の例
セラミッククラウンとインプラントによる治療で回復しました

まずは、現在の虫歯や歯周病、被せ物や詰め物の検診をさせていただき、全体的な咬み合わせのバランスを診て、将来に渡り長持ちする歯科治療を目指してまいります。

全顎治療(ぜんがくちりょう)とは

全顎治療(ぜんがくちりょう)とは、フルマウス治療とも呼ばれ、虫歯や歯周病、審美歯科やインプラント、咬み合わせ治療、矯正歯科など、あらゆる分野の歯科治療を行って、口腔内全体をキレイに機能させていくコンセプトの治療です。

歯がボロボロを治した例

治療期間 2週間
費用 4本:32~63万円(税別)
リスク副作用等 セラミック治療のリスク副作用について

分かりやすく例えるならば、お家で言うところの「本格的(劇的)な歯全体のリノベーション(リフォーム)」です。

近年では、「この際、すべての歯を一気にきれいにしたい」というご要望も多く、「全顎治療」はそういった方々にも喜ばれている審美歯科治療・咬合治療の方法です。

歯をトータルに治す、全顎治療の利点

  • 見た目の改善も出来るので、精神的なコンプレックスからも開放される
  • 現在のご自身の残っている歯の崩壊をストップし、予防につながる
  • 1本の治療よりも、機能的にも審美的にも、より満足度の高い治療結果を得られる可能性がある
  • 治療を希望している部位以外に、ご本人が気づかない症状を発見できる
  • 早めの処置で病気の進行を止め、早期発見・予防につながる
  • 何度も通院する時間の無駄がなくなる
  • 長期的なトータルで考えると、何回もその都度通って治すよりも、治療費の軽減につながる

全額治療はこんな方におすすめです

  • とにかく歯が全体的にボロボロになっている、見た目・第一印象がよくない
  • 歯医者が苦手だが、痛みの少ない治療がしたい
  • 全体的な虫歯・歯周病でお困りの方
  • 入れ歯・詰め物・被せ物を頻繁に何回も作り直している
  • 詰め物・被せ物の調子が悪い
  • 歯の根元が削れている(くさび状欠損)
  • 歯ブラシのしすぎで歯がしみる(歯磨きのしすぎが原因ではない可能があります)
  • 全体的に歯の調子が悪く、痛い、食事が出来ない、噛めない
  • 保険の差し歯・クラウンが変色してきた・歯ぐきが下がってきた
  • 歯医者に何回も通っているが、いっこうに良くならない、中々治らない
  • 治療が終わっても、他の歯がすぐに悪くなる
  • よく歯が欠ける、ヒビが入る、割れる
  • 全体的にとにかくキレイに治療をしてほしい

全顎治療が出来る歯科医院は限られています

歯科医

全顎治療は審美、矯正、咬合、インプラント、入れ歯など、トータルに治療のできる高い治療技術と長年の経験がドクターに必要です。どこの歯科医院もできるわけではありません。

また患者さんの根気もある程度必要ですが、これを機会にボロボロの歯を全体的に見直してみませんか。当院では、この全額治療を終了させ、予防歯科に移行し喜ばれている患者さんがたくさんいらしゃいます。

なるべく現在の歯を残したい、これ以上1本も歯を失いたくない、手遅れにしたくない、という方はお気軽にご相談ください。

歯がボロボロになる原因は、歯磨きの仕方が悪いだけではありません

歯が全体的にボロボロになる原因は、主に以下のようなものです。

  • 磨き残し、歯石沈着による虫歯・歯周病の進行
  • 歯1本だけの治療を終わらせただけで、全体的な咬み合わせの治療を行っていない
  • 歯ぎしり・食いしばりが強く、ひび割れ、欠けが起こる
  • 一部の歯が強く当たることによる歯の崩壊

…などなど、このように、磨き残しも1例としてありますが、多くは最初に1本の歯を失ったことから始まる、全体的なバランスや咬み合わせの崩れが大きな原因でもあります。

このバランス・咬み合わせを正常にしないと、いくら毎日の歯磨きを頑張ったとしても、歯はどんどん崩壊していくことにつながりかねません。

歯がボロボロになるまで放っておく原因は…

歯がボロボロになるまで放っておく心理的な要素として、一番は「痛いのが苦手」ということがポイントになるかと思います。

  • 治療はしたいけど、痛みが怖くて、歯医者から足が何となく遠のいてしまう
  • 痛み止めを服用し続けてきたけど、限界がきてしまった…

等々、そのようなケースも少なくありません。当院では、そのような方でも、なるべく初診の段階で、詳しくお話を伺わせていただき、痛みに配慮した治療を行うようにしております。

オプションコースで「無痛リラックス麻酔」もご用意しております。決して無理に治療をすすめすることはございませんので、まずは無料相談でお悩みをお聞かせください。

ご予約・お問合せ

初めての方でもお気軽にお問合せ・ご相談下さい

045-299-0488

平日 10:00-14:00 / 16:00-20:00 土曜 11:00-14:00 / 16:00-19:00
水曜・日曜・祝日:休診

LINE
診療時間※土曜のみ11:00-14:00 / 16:00-19:00 【休診日】水曜・日曜・祝日

〒231-0015 神奈川県横浜市中区尾上町5丁目68 馬車道RAビル 2F

電車 地下鉄ブルーライン「関内」駅 7番出口 徒歩 30 秒
JR京浜東北線・根岸線「関内」駅 徒歩 2 分
東急東横線・みなとみらい線「馬車道」駅 5番出口 徒歩 5 分
JR京浜東北線・根岸線「桜木町」駅 徒歩 8 分

Google MAP

関内馬車道デンタルオフィス診療カレンダー

患者様アンケート結果 症例集 SmileView