- 検査総額30,000円(税別)+矯正治療費総額680,000円(税別)以内で行なっております
『invisalign go 100』認定

当院はインビザライン・ジャパンが定める、インビザラインGo症例数国内TOP100の『invisalign go 100』に認定されております。
経験豊富な院長がカウンセリングから施術まで一貫して行います。
QRコードを読み取り
自分で簡単に矯正検査

術前・術後のイメージを掴んでみましょう
インビザラインGOとは、2018年から日本でも行われているマウスピースブランド「インビザライン」の中の部分矯正コースです。一般的な矯正装置に比べて短い期間で奥歯以外(前歯、小臼歯)を並べることができます(症例による)。必要最小限の装置による治療のため、リーズナブルな費用で済みます。
主に前歯の歯並びを中心に部分矯正することができる、16歳以上の成人患者さん向け最新の治療方法です。当院で治療を行った患者さんは、約4~10ヵ月以内の治療期間で終えられています。部分矯正のため、治療費用も通常のインビザライン比べ抑えられるので負担も少ないです。
インビザラインGOの特長


従来のインビザラインの特徴はそのままで、AI機能を加えることで期間短縮をして、部分的な矯正が効率的にできます。世界各国含めて症例数700万以上のビックデータから分析をして適切な治療計画をするため、治療計画通りの結果を期待できます。
また、中心から数えて5番目の歯(第2小臼歯)までを動かすことに特化しています。治療期間のかかる奥歯はあえて矯正しないので、矯正期間が短いですが、症例には限界があります。さらに、奥歯を触らないため、噛み合わせが変わらずトラブルが起きにくいです。
当院のインビザラインGo症例
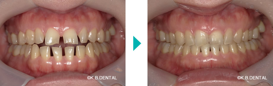
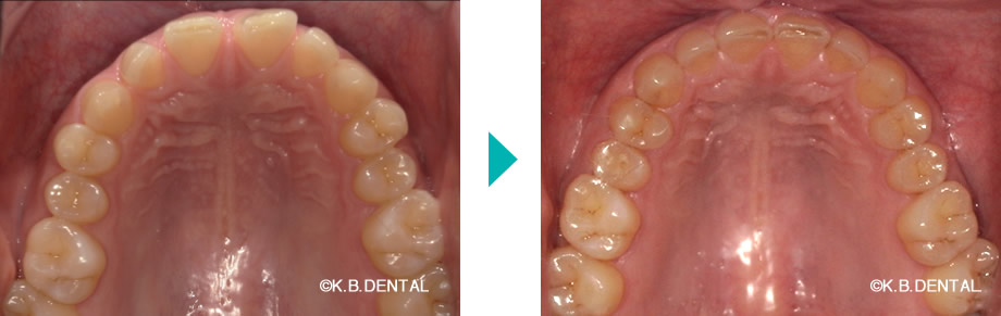
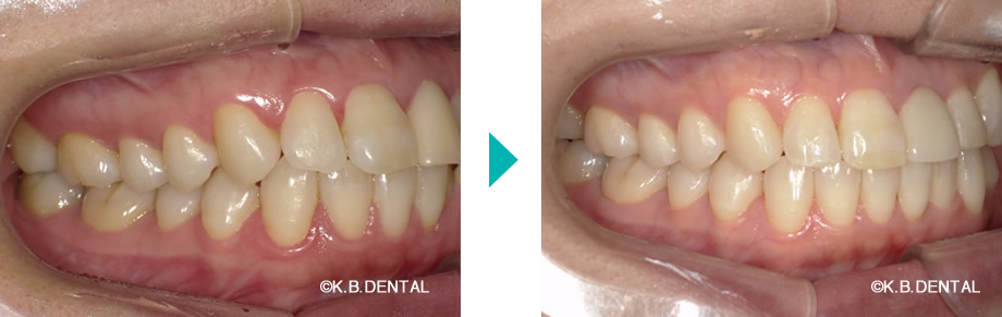
空隙が目立つ症例(前歯のすきっ歯)






| 主訴 | 歯並びがガタガタ、歯が隙間だらけで何とかしたい |
|---|---|
| 診断名 | 舌癖に起因した歯列不正 |
| 初診時年齢/性別 | 32歳女性 |
| 装置 | マウスピース矯正(インビザラインGo)+舌癖コントロール |
| 抜歯/非抜歯 | 非抜歯 |
| 治療期間 | 約1年 |
| 費用 | 約70万円(税別) |
| リスク副作用等 | 矯正歯科治療のリスク副作用について |
前歯の叢生が目立つ症例






| 主訴 | 上下の歯並びが気になる。左上1番の古いセラミックも歯並び直した後に交換したい |
|---|---|
| 診断名 | 叢生 |
| 初診時年齢/性別 | 43歳女性 |
| 装置 | マウスピース矯正(インビザラインGo)+セラミック治療 |
| 抜歯/非抜歯 | 非抜歯 |
| 治療期間 | 約1年 |
| 費用 | 約80万円(税別) |
| リスク副作用等 | 矯正歯科治療のリスク副作用について |
叢生・反対咬合の症例






| 主訴 | 上下の歯並びが気になる。受け口を治したい。 |
|---|---|
| 診断名 | 反対咬合 |
| 初診時年齢/性別 | 40歳女性 |
| 装置 | マウスピース矯正(インビザラインGo) |
| 抜歯/非抜歯 | 非抜歯 |
| 治療期間 | 約1年半 |
| 費用 | 68万円(税別) |
| リスク副作用等 | 矯正歯科治療のリスク副作用について |
すきっ歯・乳犬歯の晩期残存の症例







| 主訴 | 上顎前歯のすきっ歯を治したい。乳犬歯を抜いてインプラントにしたい。 |
|---|---|
| 診断名 | 上顎中切歯の正中離開および乳犬歯の晩期残存 |
| 初診時年齢/性別 | 32歳男性 |
| 装置 | マウスピース矯正(インビザラインGo)+矯正によるスペースメイキングした乳犬歯部分への抜歯インプラント即時埋入 |
| 抜歯/非抜歯 | 非抜歯(乳犬歯は抜歯→インプラントへ置換) |
| 治療期間 | 約1年半 |
| 費用 | 約160万円(税別) |
| リスク副作用等 | 矯正歯科治療のリスク副作用について |
前歯部の交叉咬合+開咬症例





| 主訴 | 歯並びが気になる |
|---|---|
| 診断名 | 交叉咬合・開咬 |
| 初診時年齢/性別 | 40代女性 |
| 装置 | マウスピース矯正(インビザラインGo) |
| 抜歯/非抜歯 | 非抜歯 |
| 治療期間 | 約1年 |
| 費用 | 約60万円(税別) |
| リスク副作用等 | 矯正歯科治療のリスク副作用について |
ディープバイト症例1(被蓋が深いため下の歯が見えないケース)





| 主訴 | 咬み合わせが深い |
|---|---|
| 診断名 | 過蓋咬合 |
| 初診時年齢/性別 | 40代女性 |
| 装置 | マウスピース矯正(インビザラインGo) |
| 抜歯/非抜歯 | 非抜歯 |
| 治療期間 | 約1年半 |
| 費用 | 約70万円(税別) |
| リスク副作用等 | 矯正歯科治療のリスク副作用について |
ディープバイト症例2(被蓋が深いため下の歯が見えないケース)




| 主訴 | 咬み合わせが深い |
|---|---|
| 診断名 | 過蓋咬合・叢生 |
| 初診時年齢/性別 | 40代女性 |
| 装置 | マウスピース矯正(インビザラインGo) |
| 抜歯/非抜歯 | 非抜歯 |
| 治療期間 | 約1年半 |
| 費用 | 約70万円(税別) |
| リスク副作用等 | 矯正歯科治療のリスク副作用について |
歯間空隙が目立つ症例




| 主訴 | 歯のすき間が気になる |
|---|---|
| 診断名 | 空隙歯列 |
| 初診時年齢/性別 | 40代男性 |
| 装置 | マウスピース矯正(インビザラインGo) |
| 抜歯/非抜歯 | 非抜歯 |
| 治療期間 | 約1年 |
| 費用 | 約60万円(税別) |
| リスク副作用等 | 矯正歯科治療のリスク副作用について |
犬歯が転位して歯列弓から逸脱している症例





| 主訴 | 歯並びが気になる |
|---|---|
| 診断名 | 叢生 |
| 初診時年齢/性別 | 30代女性 |
| 装置 | マウスピース矯正(インビザラインGo) |
| 抜歯/非抜歯 | 非抜歯 |
| 治療期間 | 約1年半 |
| 費用 | 約70万円(税別) |
| リスク副作用等 | 矯正歯科治療のリスク副作用について |
上顎前突および狭窄歯列症例






| 主訴 | 出っ歯が気になる |
|---|---|
| 診断名 | 上顎前突 |
| 初診時年齢/性別 | 30代女性 |
| 装置 | マウスピース矯正(インビザラインGo) |
| 抜歯/非抜歯 | 非抜歯 |
| 治療期間 | 約1年2ヶ月 |
| 費用 | 約65万円(税別) |
| リスク副作用等 | 矯正歯科治療のリスク副作用について |
上下前歯部の叢生が著しい症例






| 主訴 | 歯並びが気になる |
|---|---|
| 診断名 | 叢生 |
| 初診時年齢/性別 | 40代男性 |
| 装置 | マウスピース矯正(インビザラインGo) |
| 抜歯/非抜歯 | 非抜歯 |
| 治療期間 | 約1年半 |
| 費用 | 約70万円(税別) |
| リスク副作用等 | 矯正歯科治療のリスク副作用について |
向いているケース・向かないケース
治療に向いているケース

- すきっ歯:歯と歯に隙間がある
- 乱ぐい歯:前歯の歯が少し重なって凹凸がある
- 軽度の出っ歯:顎自体ではなく前歯が出ている
- 前歯が閉じない:奥歯は噛めるが、上下の前歯に隙間ができる
- 噛み合わせが深い:下の歯が見えないくらい噛み合わせが深い
- 後戻り:以前矯正をしていたが、歯並びが悪くなってきた
- スペース不足:インプラントや被せ物を作るスペースが足りない
治療が難しいケース
- 過度な出っ歯:顎自体が出ている →口ゴボセットバック専門外来へ
- 受け口:下の歯が前に出ている →軽度な場合はインビザラインで対応可能ですが状況により手術が必要です
- きつい叢生:歯の重なり合いが激しい →こちらも状況によりますが、必要に応じてワイヤー矯正を行います
光学印象機
「iTero ElementR 5D」を導入


当院では、アライン・テクノロジー・ジャパン株式会社が2019年末に発売した、最新型の口腔内スキャナー「iTero ElementR 5D」を導入しています。その結果、検査当日にAIによる簡易的な矯正治療のシミュレーションを行って、その場でビフォー・アフターを患者さんが確認できます。
従来の矯正治療では、歯の型取りやレントゲンなど多くの手間や時間がかかり、患者さんにも負担が多いのが特徴的でした。しかし、当院では、このiTeroでお口の中をスキャン撮影するだけで診断ができるようになりました。
スキャンによる診断により、従来のシリコンによる歯型の型取りよりも、装置が10日ほど早く作成できるようになりました。検査から開始までの期間が早いため、すぐにインビザライン治療がスタートでき、型取りが苦手な方も安心して検査を受けていただけます。口腔内スキャニングからシミュレーションまでの初回検査は5,000円税別で行えますのでお気軽にご相談ください。
インビザラインGo
治療の流れと料金
矯正相談(カウンセリング)→検査(口腔内スキャナー)申込
治療スタート前に、お悩みやご希望をカウンセリングルームでお伺いします。
- インビザラインGoの概要について説明(原則として治療費総額の上限68万円+税・治療期間10ヶ月)
- 問診・レントゲンの撮影、検査に進むことを希望される場合は検査費用として5,000円(税別)発生します
検査(口腔内スキャナー)・簡易シュミレーション・難易度判定
- 口腔内スキャナーによる検査及び簡易シュミレーション・治療難易度判定(結果はメールでシェアします)
- 当日は必ず、口紅やリップクリームを落としてください(レンズに油膜が貼って撮影困難になります)
検査結果確認→精密検査(顔貌・口腔内写真撮影・クリンチェック)申込
- カウンセリングを行いシェアしたシュミレーション結果について相談
- STEP4に進むことを希望される場合は精密検査費用として25,000円(税別)発生します

精密検査(顔貌・口腔内写真撮影~クリンチェック)
- 顔貌写真・口腔内写真の撮影(院内スマートフォンにDLしたアプリに従って進行します)
- 撮影した画像と口腔内のスキャン情報を照らし合わせてクリンチェック(分析)を行います

精密検査結果の説明・総額の見積もり及び治療期間の説明→治療申込
- STEP4から約2週間後、クリンチェックの結果を説明し総額の治療費及び治療期間を算出・説明します
- STEP6の治療開始を希望される場合は、申し込みの基本料金として150,000円(税別)の料金が発生します
治療開始(基本料金支払い後、約2週間でスタートとなります)
初回はアタッチメントの装着、IPRを行い1枚目のマウスピースをお渡しします(2週間毎に交換します)
治療終了
歯の位置を安定させるためにリテーナー(保定装置)が必要になります。
当院では、インビザラインGOによる治療で、患者さんへの負担を減らし、満足できる歯並びを手に入れられるように努めております。もちろん、インビザラインGOでは難しい症例も当院では、他の矯正治療で治すことが可能なので、お気軽にご相談ください。
!注意
- マウスピースは1枚10,000円(税別)、上下だと20,000円(税別)となります(必ず契約前の総額見積書の内訳に記載致します)。
- 最初の予定通り並ばない場合は、追加のマウスピースを無料で製作させていただきます。
インビザラインGOのメリットとデメリット
矯正治療は、「治療期間がかかる」「治療費が高い」「痛い」「目立つ」などマイナスのイメージを持たれている方も多いかと思います。しかし、インビザラインGOでは、そんなお悩みを解決できるかもしれません。
メリット
- 歯磨きは外せるため、口の中を清潔に保てむし歯や歯周病リスクが低い
- 固いものや粘着性のあるものなども今まで通り食べることができる
- 特別な行事の際にはマウスピースを外しておける
- 透明なので、ワイヤー矯正と比べると目立ちにくい
- 運動や吹奏楽も問題なく行える
- AIで歯並びを予測できるため、予測通りに終えられる可能性が高い
- 通院回数が少なくて済む
- 最大20ステージ(1ステージ1週間程度)までなので、費用が抑えられる
デメリット
- 取り外せるため、装着時間を守らなければ歯が動かない
- すべての症例に適応している訳ではない
- 慣れるまで着脱に時間がかかることもある
- 16歳未満のお子さんには使用できない







