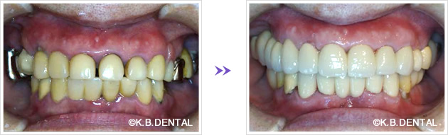
関内馬車道デンタルオフィスでは、重度の歯周病の方を対象として専門外来を設けています。再生治療や歯周外科治療、キレイなセラミック修復などで、咬合を回復させていきます。

| 治療期間 | 約9ヶ月 |
|---|---|
| 費用 | 350万円(税別) *自由診療(健康保険適用外)となります |
| リスク副作用等 | インプラントの治療内容・リスク副作用について |
当院で行っている主な歯周病治療の種類は以下になります。
ペリソルブ(PERISOLV)

当院で大活躍している歯周病治療で使う材料です。このペリソルブを使用すると歯石がサラサラと除去しやすくなります。縁下歯石なども柔らかくして除去できるので、出血・細菌リスクを抑え、より効率的な歯周病治療が可能になります。

| 治療期間 | 1日 |
|---|---|
| 費用 | 30,000円(税別) *自由診療(健康保険適用外)となります |
| リスク副作用等 |
|
| 承認機器・医薬品 | 認可されています |
光殺菌治療
当院では、歯周病の治療と進行予防に「光殺菌治療」を取り入れております。光感受性ジェルを細菌に浸透させて光で殺菌する安全で画期的な治療法です。
詳しくはこちら⇒光殺菌治療のページへ
補綴治療・セラミック治療
奥歯・前歯に理想的な形態のセラミックの被せ物をすることにより、見た目や咬み合わせを回復させます。
この補綴治療の前には、歯を支える土台となる骨(歯槽骨)の治療を必ず行う必要があります。主に下記でご紹介する治療になります。
SRP(歯石除去)+フラップ術(歯周外科)

重度歯周病の場合、基本的な最初の処置は、まず「きれいなお掃除」にあります。歯肉が引き締まった状態になったら、歯石除去を繰り返し、咬合力に対して力を分散できるようにしてあげます。
水平性の骨吸収(全体的に骨が下がっている場合)には、まず骨が下がった原因となる深く入り込んだ歯石や細菌をきれいに除去し、歯周外科処置を行います。この場合、歯茎のラインは下がりますが、周囲の骨は少しずつ自己再生していきます。
ご希望により、下がった位置に合わせて、クラウンなどの被せ物の処置を併用し、審美的に見た目もキレイな歯周病治療を行うことが可能になります。
再生治療・骨造成治療
当院では、主に以下のような再生治療・骨造成治療を行っております。
エムドゲイン

| 治療期間 | 約1ヶ月 |
|---|---|
| 費用 | 3万円(税別)/1本 *自由診療(健康保険適用外)となります |
| リスク副作用等 |
|
| 承認機器・医薬品 | 認可されています |
歯が生えてくる時に大切な働きをする特殊なたん白質の一種を主成分とした世界39カ国で使用されている安全性の高い再生ゲルです。
歯周病で失った歯槽骨や歯根膜にあてがうことにより、骨の再生を促します。エムドゲインの効果の実感としては。当院での患者さんの予後は非常に良好です。
エムドゲインは単独性の骨吸収(一部の骨が下がっている場合)には向いていますが、水平性の骨吸収(全体的に骨が下がっている場合)には不向きですので、症例を見極めて使用するようにしています。
骨補填材(β-TCP)

アローボーンβデンタルという安全な国内産の骨補填材を併用し、歯周病で下がった骨の再生を促すこともあります。
歯周病のひどい方・重度の方はこのようなご相談で来院されています
- 歯がグラつく
- 臭いがする(口臭がある)
- 膿が止まらない
- よく噛めない
歯周病で歯がボロボロで見た目がよくない、食事が思うようにできない、など審美的なお悩みから咬み合わせの相談まで、お気軽にお問い合わせください。







