インビザラインによる前歯の部分矯正も行っております
マウスピースを使ったプチ矯正(部分矯正)
前歯のちょっとした「傾きやねじれ」気になりませんか?当院では、透明で目立たず気づかれにくい矯正装置「マウスピース矯正」を使用し、前歯の部分矯正(プチ矯正)を行っております。
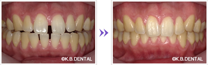
症例1:前歯のすきっ歯・捻転


| 主訴 | 捻じれた前歯を治したい |
|---|---|
| 診断名 | 叢生、正中離開 |
| 初診時年齢/性別 | 27歳女性 |
| 装置 | マウスピース矯正(スマイルトゥルー) |
| 抜歯/非抜歯 | 非抜歯 |
| 治療期間 | 5ヶ月 |
| 費用 | 45万円(税別) |
| リスク副作用等 | 矯正歯科治療のリスク副作用について |
治療期間は約5ヶ月。目立たないアタッチメントと取り外し可能なマウスピース矯正装置により、すきっ歯も簡単に治ります。
症例2:噛み合わせ、隙間(すきっ歯)の改善



| 主訴 | すきっ歯を治したい |
|---|---|
| 診断名 | 正中離開、空隙歯列 |
| 初診時年齢/性別 | 30代男性 |
| 装置 | マウスピース矯正(スマイルトゥルー) |
| 抜歯/非抜歯 | 非抜歯 |
| 治療期間 | 8ヶ月 |
| 費用 | 60万円(税別) |
| リスク副作用等 | 矯正歯科治療のリスク副作用について |
混合歯列期~永久歯列期にかけて歯科検診で開口を指摘され、20歳頃より歯列不正、咀嚼障害を自覚するも放置。最近になり審美面が特に気になり始めた為、当院受診。治療期間は約8か月間でした。
症例3:すきっ歯と正中線のズレ



| 主訴 | すきっ歯を治したい |
|---|---|
| 診断名 | 正中離開 |
| 初診時年齢/性別 | 30代男性 |
| 装置 | マウスピース矯正(スマイルトゥルー) |
| 抜歯/非抜歯 | 非抜歯 |
| 治療期間 | 6ヶ月 |
| 費用 | 45万円(税別) |
| リスク副作用等 | 矯正歯科治療のリスク副作用について |
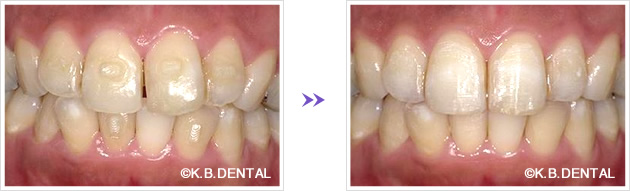
症例4:ちょっとした前歯の傾き(ねじれ)


| 主訴 | 傾いた前歯を治したい |
|---|---|
| 診断名 | 叢生 |
| 初診時年齢/性別 | 30代女性 |
| 装置 | マウスピース矯正(スマイルトゥルー) |
| 抜歯/非抜歯 | 非抜歯 |
| 治療期間 | 6ヶ月 |
| 費用 | 45万円(税別) |
| リスク副作用等 | 矯正歯科治療のリスク副作用について |
症例5:前歯の重なり・互い違い





| 主訴 | 重なった前歯を治したい |
|---|---|
| 診断名 | 叢生 |
| 初診時年齢/性別 | 30代女性 |
| 装置 | マウスピース矯正(スマイルトゥルー) |
| 抜歯/非抜歯 | 非抜歯 |
| 治療期間 | 12ヶ月 |
| 費用 | 65万円(税別) |
| リスク副作用等 | 矯正歯科治療のリスク副作用について |
マウスピース矯正
「スマイルトゥルー(SmileTRU)」

当院では、アメリカ発の世界各国で実績のあるマウスピース型矯正システム「スマイルトゥルー」を採用し、部分矯正、プチ矯正を行っています。
インビザラインやアソアライナーと違い、たった1回の型取りで、軽度の不正な歯並びを効率よく正確に改善していく矯正システムです。


当院のドクターは、このマウスピース矯正「スマイルトゥルー」の認定医です。写真はスマイルトゥルー開発者のテキサス大学教授・ドクタースキップ氏と。
▲歯科医師向けに講演も行っています
このような方へ
- 前歯のねじれ・傾きがちょっと気になる
- 歯と歯の隙間(すきっ歯)をなくしたい
- あとちょっとだけ、歯並びをよくしたい
- コストや労力をかけて歯列矯正をしたくない
- 過去に矯正をしたが後戻りをしてきた
納得してからの治療スタートができます
院内で採った歯型を3Dデータにし、アメリカ本部のスマイルトゥルー社に送ります。そこでは矯正医を含む専門チームが歯を正しくきれいな位置にコンピュータでデザインします。
患者さんは治療スタート前に、術後の予測を3D画像で確認することができ、ご納得いただいてからスタートが可能です。
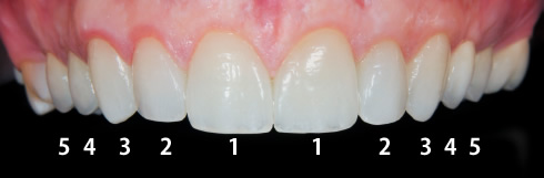
スマイルトゥルーによる部分矯正は前から5番目までの歯が適応

マウスピース矯正は、あくまでの軽度な前歯のねじれや傾きのケースが適応となる部分矯正(プチ矯正)です。目安として、前歯の中央から数えて3番目~3番目の軽度な矯正治療を得意としています。限界は、5番目までです。ご自身の歯並びがマウスピース矯正に適応されるかどうか、詳しく診断させていただきます。お気軽にご相談ください。
当院におけるスマイルトゥルー矯正の流れ
検査・カウンセリング


- 印象採得
- レントゲン撮影
- 口腔内写真撮影
・・・を行います。当院の歯型取りは光学スキャン印象で行います。
検査結果確認
矯正シミュレーション(3Dデータ)設計依頼
適応症例の判別、前歯部~小臼歯部までのレベルの測定、リスクの有無の確認を行います。その後、矯正シミュレーション(3Dデータ)設計依頼を行います。
ここで総額費用の上限や、およその治療期間についてもご説明いたします。
矯正シミュレーション結果確認
マウスピース製作依頼

- 3D画像による術前術後の予測データの確認
- マウスピース枚数の確定
- アタッチメント箇所/IPR箇所の確定
- 治療費総額の確定
…などを行い、その後マウスピース製作依頼を行います。
治療開始
マウスピースをお渡しし治療を開始いたします。使用方法や注意点についてもご説明いたします。
定期的に歯の移動のチェックを行い、マウスピースの交換を行います。
光学印象機「トリオス」での歯型取りも行えます
印象材での型取りが苦手な方は、光学印象機「トリオス」での歯型取りも行えます。光で歯型を読み取る最新の印象機器で、従来のペースト状の印象材による気持ち悪さや不快感がありません。
でこぼこ・傾きがマウスピース矯正で治療できない場合は…
いわゆるがたがた・でこぼこの歯並びなど、前歯の不正な歯並びが重度な場合、マウスピース矯正は適さない場合があります。その場合、ワイヤーによる目立たない矯正装置の選択や、セラミック矯正なども選択肢として考えられます。
その方の症状やご希望、生活スタイルに合わせて、さまざまな治療方法をご提案させていただきます。お気軽にお問い合わせ・ご相談ください。
矯正歯科治療のリスク・副作用について
ここでは、医療広告ガイドラインに基づき、矯正歯科治療についての治療内容・リスク・副作用について記述いたします。
治療内容
矯正歯科治療は、ワイヤーやブラケット、マウスピースなどの矯正装置を歯に装着し、装置を交換・調整しながら歯牙の移動を促し、歯並びや咬み合わせを改善する治療方法です。
健康保険と自費の適用、費用について
矯正歯科治療は自費診療となり健康保険対象外です。
- 費用:30万~80万円(税別)
リスク・副作用
- 矯正治療中は、歯ブラシが届きにくく、虫歯や歯周病(歯肉炎)のリスクが伴います。そのため、医院でのブラッシング指導、ご本人の毎日の歯ブラシをしっかり行っていただく必要があります。また虫歯の定期検診やフッ素塗布などを推奨しております。
- 装置装着後と通院における装置調整後は、歯の移動により1~3日ほど痛みを伴うことがあります。痛みの時間や感じ方には個人差があります。
- 矯正装置の装着・着脱動作中に痛みや咬合状態の変化による不快感・違和感を生じる場合があります。感じ方には個人差があります。
- 成人矯正では治療中に歯の移動に伴う歯茎退縮や歯根吸収が生じる場合があります。
- 歯の移動に伴い、装置から余分なワイヤーが出ることがあります。そのため内頬を傷つけることがまれにあります。その場合はワイヤーの調整やカットを随時行います。
- 小児矯正では、お子さんが無意識に装置を外したり壊したりしてしまうことがあります。
- 小児の取り外し式の装置(可撤式装置)ではお子さんご本人・保護者の方の協力を得られないと治療計画通りに治らないことがあります。
- 極端に硬い食べ物などを召し上がる場合など、装置が外れたりすることがあります。装置への負担を軽減するため、極端に硬い食べ物は避けるようにしてください。
- 繊維質の食べ物は、装置にひっかかり飲み込みづらくなることがあります。
- 個人差によっては歯が後戻りをすることがあります(移動した歯は元の位置に戻ろうとします)そのため治療終了後も保定装置(リテーナー)を一定期間正しくつけることを忘れずにお願いします。
- マウスピース型カスタムメイド矯正歯科装置(インビザラインやアソアライナー、クリアアライナー、スマイルトゥルー等)では1日に20~22時間以上装着していないと治療計画通りに治らないことがあります。
- インビザラインやアソアライナー、クリアアライナー、スマイルトゥルー等のカスタムメイド矯正装置完成物は完成物薬機法対象外(薬機法未承認)の矯正歯科装置(医薬品)であり、承認医薬品を対象とする医薬品副作用被害救済制度の対象外となる場合があります。
当院では、上記のようなリスクや副作用が起こらないよう、事前診査・診断、治療計画をしっかりと行い、安全性を期した矯正歯科治療を心がけております。











